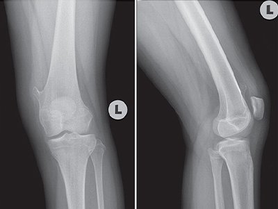
01 Nov Lump in leg By arsalan0 Comments An 11-year-old girl, a student, accompanied by her mother, came to the clinic complaining of a lump in her left leg that did not go away. She noticed the pump 15 days ago; it has not grown and is not associated with pain. She had no trauma or injury to the left leg, and the lump does not interfere with her daily activities. Her family history is unremarkable. Her physical examination revealed a lump on her left medial knee, skin over lump was normal, no ecchymosis. The lump is nontender firm, fixed bony prominence, and located on the medial distal left femur. However, there was no knee joint effusion and her knee range of motion was normal. No palpable inguinal lymphadenopathy was noticed. Plain radiography was performed and is shown below. Based on the physical examination and radiography findings, Which one of the following is the most likely diagnosis? Osteochondroma Osteoid osteoma Enchondroma Non-ossifying fibroma Fibrous dysplasia None Time's up Share article:TwitterFacebookLinkedin